mhd格式的文件里面包含的是raw图像的一些头信息,比如图片大小,拍摄日期等等,那么如何可视化图像呢?
import cv2
import SimpleITK as sitk
import matplotlib.pyplot as plt
import numpy as np
image =sitk.ReadImage(path)
image = sitk.GetArrayFromImage(image)
#image = np.squeeze(image[slice, ...]) # if the image is 3d, the slice is integer
plt.imshow(image,cmap='gray')
plt.axis('off')
plt.show()
cv2.imwrite('1.png',image)
这里path是mhd文件的路径,并且在该路径下需要有相应的raw文件
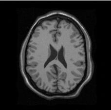
这里展示一下我的mdk文件和保存的png文件


在这里如果cv2和ITK模块没有的话可以用pip安装
pip install opencv-python pip install SimpleITK
以上这篇Python可视化mhd格式和raw格式的医学图像并保存的方法就是小编分享给大家的全部内容了,希望能给大家一个参考,也希望大家多多支持脚本之家。